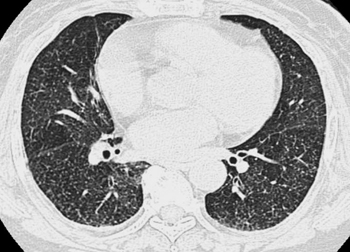
興味ある特徴的な画像所見であった。 Keywords:ニューモシスチス肺炎,後天性免疫不全症候群,囊胞/ Pneumocystis pneumonia, acquired immunodeficiency syndrome, cyst 両肺びまん性に多発囊胞性陰影を呈した HIV感染症に合併したニューモシスチス肺炎の1例①肺炎の診断 発熱、咳、痰、 呼吸困難、胸痛等 胸部画像所見:浸潤影 (レントゲン、ct) 肺炎 一般臨床検査 wbc、crp等 原因微生物の検索 痰培養・血液培養 血清学的検査 尿中抗原など プロカルシトニンは感染症である、 ということを決めるマーカーでは次の図は、英語の PJP の定義の 1 つを示しています ニューモシスチス肺炎。画像ファイルをダウンロードして印刷したり、電子メール、Facebook、Twitter、TikTokを介して友達に送信したりできます。
111d32 Medu4でゼロから丁寧に医学を学ぶ
ニューモシスチス肺炎 画像診断
ニューモシスチス肺炎 画像診断-ニューモシスチス肺炎、サイトメガロウイル ス肺炎など また、単純胸写の経時的変化から情報を捉え ていくことにより、急性、亜急性、慢性の経過 で鑑別する疾患が変わってくる2)。 a 急性・亜急性発症の場合:呼吸困難、咳嗽、 喀痰、喘鳴、発熱 ニューモシスチス肺炎,サイトメガロウイルス肺炎 登録日: 最終更新日: 濵田洋平 (佐賀大学医学部附属病院感染制御部副部長) 青木洋介 (佐賀大学医学部国際医療学講座臨床感染症学分野教授/附属病院感染制御部部長) 1 2



111d32 Medu4でゼロから丁寧に医学を学ぶ
抹消がスペアされたすりガラス陰影はニューモシスチス肺炎に典型的、ですが 上肺野の画像を出さないのはちょっと意地悪かなぁと思ってしまいます。 この状態だとサイトメガロ感染症は 合併 していてもおかしくはありませんが、最も考えられるのはニューモシスチス肺炎 1 2 診断のアプローチ 治 療 ⑴ どのようなときに疑うか 体動時の息切れ、咳嗽、発熱、呼吸困難が出現したとき。胸部x線写真の陰影が出現する 以前に、肺拡散能や動脈血酸素分圧が低下することもある。5肺・胸膜 (10)ニュウモシスティス肺炎病理コア画像 5肺・胸膜 (10)ニュウモシスティス肺炎 ミクロ像(HE弱拡大):TBLBの材料。 肺胞内に好酸性(エオジンに染まる)泡沫状の滲出物を認める。 画像をクリックすると拡大表示します。
間質性陰影の異常所見は下記のように記載されることが あるが・・・ 「肺紋理がきたない」 「間質影が増強しています」 「粒状網状影が目立ちます」 このレベルは,次のスライドの レベル2 の段階である. 肺紋理がどうきたないのか どんな間質影なのかびまん性肺胞出血を呈したニューモシスチス肺炎を 経験した。ニューモシスチス肺炎に肺胞出血を伴った という報告は稀であるが、その可能性も念頭に置き診 療にあたる必要があると考える。 本論文の要旨は第275回日本内科学会北海道地方会 呼吸不全からニューモシスチス肺炎を予測する 18年09月11日 0610 プッシュ通知を受取る
画像診断 41巻2号 (21年1月) ニューモシスチス肺炎(PCP)とサイトメガロウイルス肺炎(CMVP)はHRCT上,いずれも広範なすりガラス影が高頻度であるが,前者ではコンソリデーションや結節の頻度は低いのに対して,後者ではいずれも少なからずみニューモシスチス肺炎の新展開 ニューモシスチス肺炎(以下、pcp)は、aidsなど高度の免疫低下者に合併する重い 日和見肺炎として知られて来ましたが、その診断・治療方法は大体確立し、問題として は一段落といった様相です。画像 (1) 臨床検査 (0) 表 (0) 肺胞気動脈血酸素分圧較差 ニューモシスチス肺炎 Pneumocystis jiroveciiは免疫抑制患者,特にヒト免疫不全ウイルス(HIV)感染患者およびコルチコステロイドの全身投与を受けている患者における肺炎の一般的な起因菌である。症状と



Hiv感染者の肺炎 ニューモシスチス肺炎など 総合診療 31巻2号 医書 Jp



症例032 ニューモシスチス肺炎 胸部単純x線写真 X線写真 症例 アトラス
逆に、aids患者の気胸を見たときには、ニューモシスチス肺炎を疑う。 亜急性〜慢性(28週)の経過で発症。一方でnonhivは急性。 aids患者の60%がpcp発症で発見。 nonhivpcpは死亡率3550%。hivpcpは死亡率10%。 症例 hiv陽性患者のpcp画像所見2症例 Kerley line,hilar haze, 気管支血管周囲肥厚 :左心不全 Tram line:気管支拡張症,気管支炎,びまん性汎細気管支炎 (画像引用元 不明) 47 ニューモシスチス肺炎のスリガラス影 48 ニューモシスチス肺炎のスリガラス影 (XPで見える場合) 49>画像所見 : 両下肺野優位で微細な網状影とすりガラス影が広がっている。 >診断 : ニューモシスチス肺炎(旧 カリニ肺炎) >解説 : 広範なすりガラス影を示す代表的な疾患としては、 ニューモシスチス肺炎とサイトメガロウイルス肺炎があげられる。



ニューモシスチス肺炎治療薬 アトバコン 1



Jikeirad Jp
重症ニューモシスチス肺炎に対してクリンダマイシン・プリマキン 療法を行った1例 横浜市立市民病院感染症内科 吉村 幸浩 坂本 洋平 天野雄一郎 立川 夏夫 (平成27年1月14日受付) (平成27年6月1日受理) Keywords pneumocystispneumonia(PCP), primaquine 序文



症例 後天性免疫不全症候群の発症によりニューモシスチス肺炎をきたした1例 Earlの医学ノート



肺領域 隈丸加奈子 村山貞之 17年 記事一覧 医学界新聞 医学書院



Jikeirad Jp



Medical Radionikkei Jp



ニューモシスチス肺炎治療薬 サムチレール 内用懸濁液15 本日発売 Gsk グラクソ スミスクライン株式会社



解答 解説 メトトレキサート使用下の関節リウマチ患者に生じた発熱を伴う急性呼吸不全 実践 画像診断q A 羊土社 レジデントノート 実践 画像診断q A 羊土社 レジデントノート 羊土社



Jikeirad Jp



ニューモシスチス肺炎とは コトバンク



医師国家試験対策といえばbot Pa Twitter ニューモシスチス肺炎と肺クリプトコックスの治療といえば ニューモシスチス肺炎 St合剤 予防にも有用 ペンタミジン 肺クリプトコッカス フルコナゾール イトラコナゾール T Co Thamsemjd7



症例032 ニューモシスチス肺炎 症例 肺炎 X線写真



Asahikawa Hosp Go Jp



111d32 Medu4でゼロから丁寧に医学を学ぶ



ニューモシスチス イロベチイ Wikipedia



症例032 ニューモシスチス肺炎 Ct 症例 肺 X線写真



カポジ肉腫



ニューモシスチス肺炎 小児科 58巻1号 医書 Jp



ニューモシスチス肺炎 カリニ肺炎 Pcp のct画像診断のポイント



ニューモシスチス肺炎 Pcp 日和見疾患の診断 治療 診断と治療ハンドブック



106d31 Medu4でゼロから丁寧に医学を学ぶ



返品送料無料 単行本 ニューモシスチス肺炎研究会編 ニューモシスチス肺炎のすべて 送料無料 お洒落無限大 Www Endocenter Com Ua



ロングセラー ニューモシスチス肺炎のすべて 品 今だけ限定価格 Diquinsa Com Mx



Jikeirad Jp



びまん性肺疾患のct画像 総合診療医ドクターpチャンネル 元救急医の挑戦 In 宮崎



医学のあゆみ 第5土曜特集第251巻9号 くすりの副作用のすべて 日和見感染症 細菌性肺炎 結核 ニューモシスチス肺炎



正常な肺のct画像



呼吸器内科 東北大学病院



Kansensho Or Jp



Yiwuxinyu Com



110i66 Medu4でゼロから丁寧に医学を学ぶ



ニューモシスチス肺炎とは 症状 原因 治療 病院の診療科目 病気スコープ



目でみる症例 ニューモシスチス肺炎 臨床雑誌内科 95巻4号 医書 Jp



高齢者新興感染症 Emerging Infectious Disease In The Elderly 岸田直樹 18年 記事一覧 医学界新聞 医学書院



皮膚から見つける内科疾患 Medicina43 10



ニューモシスチス肺炎 カリニ肺炎 の原因 症状 治療 再発可能性 アスクドクターズトピックス



Kansensho Or Jp



症例 後天性免疫不全症候群の発症によりニューモシスチス肺炎をきたした1例 Earlの医学ノート



解答 解説 息切れ 倦怠感 食欲不振 体重減少を主訴に受診した40歳代男性 実践 画像診断q A 羊土社 レジデントノート 羊土社



ニューモシスチス肺炎



ニューモシスチス肺炎 病理検査の玉手箱 楽天ブログ



5 肺 胸膜 10 ニュウモシスティス肺炎 病理コア画像



サムチレール 製品特性 医療関係者向け情報 Gskpro



Jrs Or Jp



ニューモシスチス肺炎 Wikipedia



メトトレキサート Methotrexate Mtx による肺障害 亀田メディカルセンター 亀田総合病院 呼吸器内科 呼吸器道場



Jrs Or Jp



ニューモシスチス肺炎 ニューモシスティス肺炎 日経メディカル



ニューモシスチス肺炎 Pcp 落書き帳2



Hakatara Net



Jscm Org



ニューモシスチス肺炎 化学療法の領域 30巻2号 医書 Jp



ニューモシスチスとサイトメガロウイルス肺炎による重症呼吸不全に対しecmoを用いて救命したhiv患者の1症例 Severe Respiratory Failure With Pneumocystis Jirovecii And Cytomegalovirus Pneumonia In An Hiv Positive Patient Treated Successfully By Extracorporeal



症例6 診断と解説



Miyazaki Med Or Jp



Hivに関連した日和見感染症について Hiv基礎知識 九州ブロックhiv Aids情報ページ 国立病院機構九州医療センター



解答 解説 メトトレキサート使用下の関節リウマチ患者に生じた発熱を伴う急性呼吸不全 実践 画像診断q A 羊土社 レジデントノート 実践 画像診断q A 羊土社 レジデントノート 羊土社



Jaids Jp



びまん性肺疾患のct画像 総合診療医ドクターpチャンネル 元救急医の挑戦 In 宮崎



医師監修 ニューモシスチス カリニ肺炎とはどのような病気か 医師が作る医療情報メディア Medicommi



115回医師国家試験問題 A37 ニューモシスチス肺炎 今年の医師国家試験を解いてみました



ニューモシスチス肺炎 Pcp 日和見疾患の診断 治療 診断と治療ハンドブック



ニューモシスチス肺炎治療薬 アトバコン 2



ニューモシスチス肺炎のすべて ニューモシスチス肺炎研究会 本 通販 Amazon



Jrs Or Jp



目でみる症例 ニューモシスチス肺炎 Htlv 1キャリアに発症 臨床雑誌内科 110巻3号 医書 Jp



がん治療に伴う合併症 ニューモシスチス肺炎



ニューモシスチス肺炎 Pcp 日和見疾患の診断 治療 診断と治療ハンドブック



Ema症例67 11月症例解説 Em Alliance



ニューモシスチス肺炎治療薬 アトバコン 2



ニューモシスチス肺炎 落書き帳2



F Seisyukai Jp



肺 5 ニューモシスチス肺炎 化学療法の領域 32巻4号 医書 Jp



松下 Er ランチ カンファレンス Pcpの診断



解答 解説 3週間前からの発熱 咳嗽 呼吸困難で受診した40歳代男性 実践 画像診断q A 羊土社 レジデントノート 実践 画像診断q A 羊土社 レジデントノート 羊土社



Jrs Or Jp



Jrs Or Jp



返品送料無料 単行本 ニューモシスチス肺炎研究会編 ニューモシスチス肺炎のすべて 送料無料 お洒落無限大 Www Endocenter Com Ua



ニューモシスチス肺炎とは 医療総合qlife



Medical Radionikkei Jp



ニューモシスチス肺炎またはpcp 病気 21



Jaids Jp



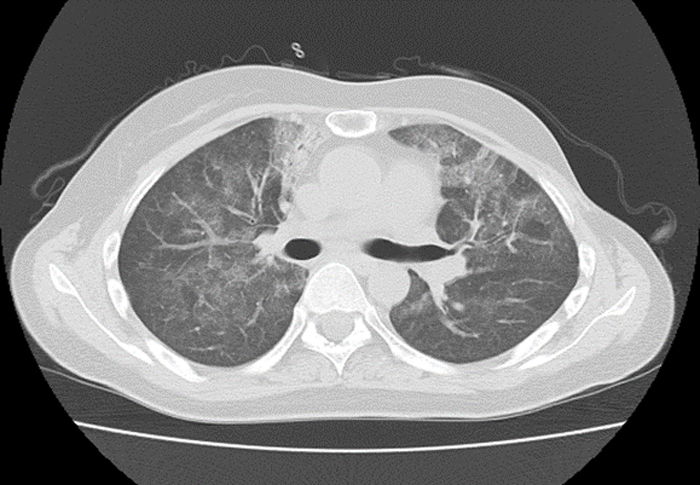
上肺野 上葉 優位の画像所見を呈するニューモシスティス肺炎症例 さいたま赤十字病院呼吸器内科 こちら彩の国 呼吸器科



Ra患者のニューモシスチス肺炎に注意 日経メディカル



Jrs Or Jp



医療関係者 関節リウマチ 安全性対策 結核 ニューモシスティス肺炎の自覚症状と臨床症状 ヒュミラr情報ネット



ニューモシスチス肺炎 カリニ肺炎 Story 腺様嚢胞癌闘病記伝



Jrs Or Jp



プレドニゾロンmgを1ヶ月以上投与する場合はニューモシスチス肺炎予防を考慮する 亀田メディカルセンター 亀田総合病院 呼吸器内科 呼吸器道場



ニューモシスチス肺炎 Pcp 日和見疾患の診断 治療 診断と治療ハンドブック



リウマチ膠原病疾患毎のニューモシスチス肺炎発症リスク リウマチ膠原病徒然日記



抗がん剤全般による間質性肺炎 間質性肺障害 の対処法 薬剤性肺障害 間質性肺炎障害 副作用とその対処法 インフォメーションモデル 東和薬品 抗がん剤ナビ



解答 解説 息切れ 倦怠感 食欲不振 体重減少を主訴に受診した40歳代男性 実践 画像診断q A 羊土社 レジデントノート 羊土社



ニューモシスチス肺炎治療薬 アトバコン 3



日々の症例 128 ニューモシスチス肺炎



細菌性肺炎 日和見疾患の診断 治療 診断と治療ハンドブック



医師国家試験対策といえばbot ニューモシスチス肺炎と肺クリプトコックスの治療といえば ニューモシスチス肺炎 St合剤 予防にも有用 ペンタミジン 肺クリプトコッカス フルコナゾール イトラコナゾール T Co Thamsemjd7



解答 解説 3週間前からの発熱 咳嗽 呼吸困難で受診した40歳代男性 実践 画像診断q A 羊土社 レジデントノート 実践 画像診断q A 羊土社 レジデントノート 羊土社



1



Medical Radionikkei Jp



解答 解説 発熱 咳嗽を主訴とした60歳代女性 実践 画像診断q A 羊土社 レジデントノート 羊土社



ニューモシスチス肺炎 医療関係資格試験マニア

0 件のコメント:
コメントを投稿